快科技7月17日消息,惠州家政13825404095世界之大,无奇不有!
近日,巴西一名11岁女孩被发现口中竟有多达81颗牙齿(正常人拥有28-32颗恒牙),医学界为之震动。
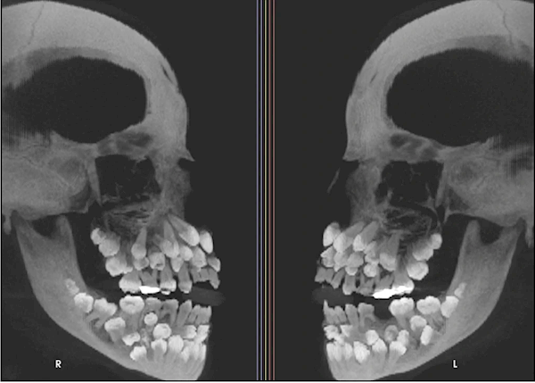
据悉,该女孩来自米纳斯吉拉斯州,当天她前往牙科检查,打算拔除残留的乳牙,然而牙医通过X光检查发现她竟然满口都是牙!
经确认,女孩嘴里存在18颗乳牙和32颗恒牙,还额外长出了31颗“超生牙”,属极罕见的“多重超数牙”病例。
一般情况下,此类患者仅多出少量牙齿,而这名女孩所拥有的牙齿数量足以颠覆认知。
后医生通过CT扫描及染色体检测,发现其第9号染色体存在一处罕见变异,不过目前尚无法确认该变异是否直接导致牙齿异常。
目前女孩需接受多学科联合治疗,制定精准拔牙与整形计划,以保护颌骨健康,恢复正常咀嚼功能与面部美观。
资料显示,“多重超数牙”(即牙齿数量远超正常范围的情况)是一种罕见的牙发育异常。
医学界认为,多数病例被认为是遗传基因突变与胚胎发育异常共同作用的结果,而环境因素的影响尚不明确。
由于其极端罕见性,相关研究多基于个案分析,缺乏大规模流行病学数据支持,因此确切机制仍需进一步探索
